中山大学最新ACS Nano:研究发现纳米塑料会诱导流产!

来源:高分子科学前沿 2024-01-25 09:10

在当今社会,全球每年产生约3亿吨的塑料废弃物,其中一部分被自然环境分解成微塑料(MPs,直径小于5毫米)和纳米塑料(NPs,直径小于100纳米)。与微塑料相比,纳米塑料可能因其更小的尺寸更容易进入组织和器官,因此可能具有更严重的毒性效应。聚苯乙烯纳米颗粒(PS-NPs)作为一种纳米塑料被广泛用于制造发泡聚苯乙烯、玩具、光盘和杯盖等产品。先前的研究已经发现PS-NPs(直径20纳米)可以从小鼠母体肺部转移到胎盘和胎儿组织,从而影响小鼠胎儿的发育。因此,对PS-NPs的生殖毒性进行深入的研究显得迫切。

2024年1月22日,中山大学附属第八医院研究员张慧东团队发现PS-NP的暴露激活了自噬过程,抑制了SOX2介导的ROCK1基因转录,从而影响了细胞的迁移/侵袭和迁移体(Migrasome)的形成,最终导致了流产。通过补充小鼠SOX2或ROCK1可以有效挽救这些影响,为我们了解PS-NPs对女性生殖健康的毒理效应提供了洞察。该研究成果以“Polystyrene Nanoplastics Activate Autophagy and Suppress Trophoblast Cell Migration/Invasion and Migrasome Formation to Induce Miscarriage”为题,发表在ACS Nano期刊上。共同第一作者是中山大学附属第八医院万叔坤, 王晓庆, 和陈维娜。

1.png

3.png

摘要图。

【PS-NPs的特性】

首先,通过透射电子显微镜(TEM)对PS-NPs和mCherry-PS-NPs的表面形态进行了表征。结果显示,PS-NPs和mCherry-PS-NPs呈规则的球形(图1A)。动态光散射(DLS)分析显示PS-NPs的平均直径为57.2 ± 14.8纳米(图1B)。随后,通过傅里叶变换红外光谱(FT-IR)对新鲜PS-NPs和在滋养层细胞裂解液中培养24小时的PS-NPs的表面修饰进行了表征。结果显示,在与细胞裂解液共培养后,PS-NPs相对惰性,没有出现新的吸收峰(图1C),表明在滋养层细胞中PS-NPs具有惰性表面。通过流式细胞仪分析评估了PS-NPs(使用mCherry-PS-NPs作为荧光探针)在滋养层细胞中的内吞作用。结果发现,PS-NPs可以在1小时内轻松地被滋养层细胞Swan 71细胞内吞,并至少在24小时内保持稳定(图1D)。PS-NPs 暴露的 Swan71 细胞的TEM图像显示,PS-NPs位于大的液泡中,并且在细胞质中自由分布(图1E,红色箭头指示颗粒)。

4.png

图1. 聚苯乙烯纳米颗粒(PS-NPs)的表征和内吞作用。

【PS-NPs对人滋养层细胞的不良影响】

为了研究PS-NPs对人滋养层细胞的逆境影响,Swan 71细胞被暴露于0、50、100、150或200 μg/mL的PS-NPs中。透过膜实验显示,随着PS-NP浓度的增加,Swan 71细胞的迁移/侵袭逐渐受到抑制(图2A,B)。PS-NP 暴露的 Swan 71 细胞中,两种典型的迁移体(Migrasome)形成蛋白指示物质 TSPAN4 和 NDST1 的蛋白水平也呈浓度依赖性降低(图2C?E),表明PS-NPs可能抑制迁移体(Migrasome)的形成。进一步的migrasome实验显示,在转染了TSPAN4-EGFP的人滋养层细胞中形成了migrasomes,而PS-NP 暴露后migrasome的数量减少(图2F,G)。此外,在暴露于mCherry-PS-NPs(5 μg/mL,以清晰可见其共定位的方式)的滋养层细胞中,发现PS-NPs和迁移体(Migrasome)共定位,表明PS-NPs可能进入迁移体(Migrasome)并通过迁移体(Migrasome)释放到细胞外(图2H)。总体而言,这些结果表明PS-NP 暴露抑制了人滋养层细胞的迁移/侵袭和迁移体(Migrasome)形成。

5.png

图2. PS-NP 暴露抑制了人滋养层细胞的迁移/侵袭和迁移体(Migrasome)的形成。

【PS-NPs通过下调ROCK1抑制了人滋养层细胞的迁移/侵袭和迁移体(Migrasome)形成】

研究探索了哪些蛋白可能参与了PS-NP抑制的滋养层Swan 71细胞的迁移/侵袭和迁移体形成。为此,在PS-NP暴露的人滋养层细胞中检测了几个对滋养层细胞迁移/侵袭具有功能的经典信号通路。这些基因中,Rho-ROCK信号通路表现出显著的变化(图3A,B)。ROCK家族包含两个成员,ROCK1和ROCK2,两者在激酶结构域中具有高度的序列相似性,对多个细胞骨架功能起作用。实验证实,在PS-NP 暴露的滋养层细胞中,ROCK1的mRNA和蛋白水平均随着PS-NP浓度的增加而降低(图3C?E)。为验证ROCK1在滋养层细胞中的功能,通过转染其过表达质粒使Swan 71细胞过表达ROCK1(图3F?H)。ROCK1的过表达促进了滋养层细胞的迁移/侵袭和迁移体形成,并且ROCK1的过表达还能够挽救PS-NP暴露的滋养层细胞中被抑制的迁移/侵袭和迁移体的形成(图3I?L)。因此,这些结果表明PS-NP暴露通过下调ROCK1抑制了人滋养层细胞的迁移/侵袭和迁移体的形成。

6.png

图3. PS-NPs通过下调ROCK1抑制了迁移/侵袭和迁移体形成。

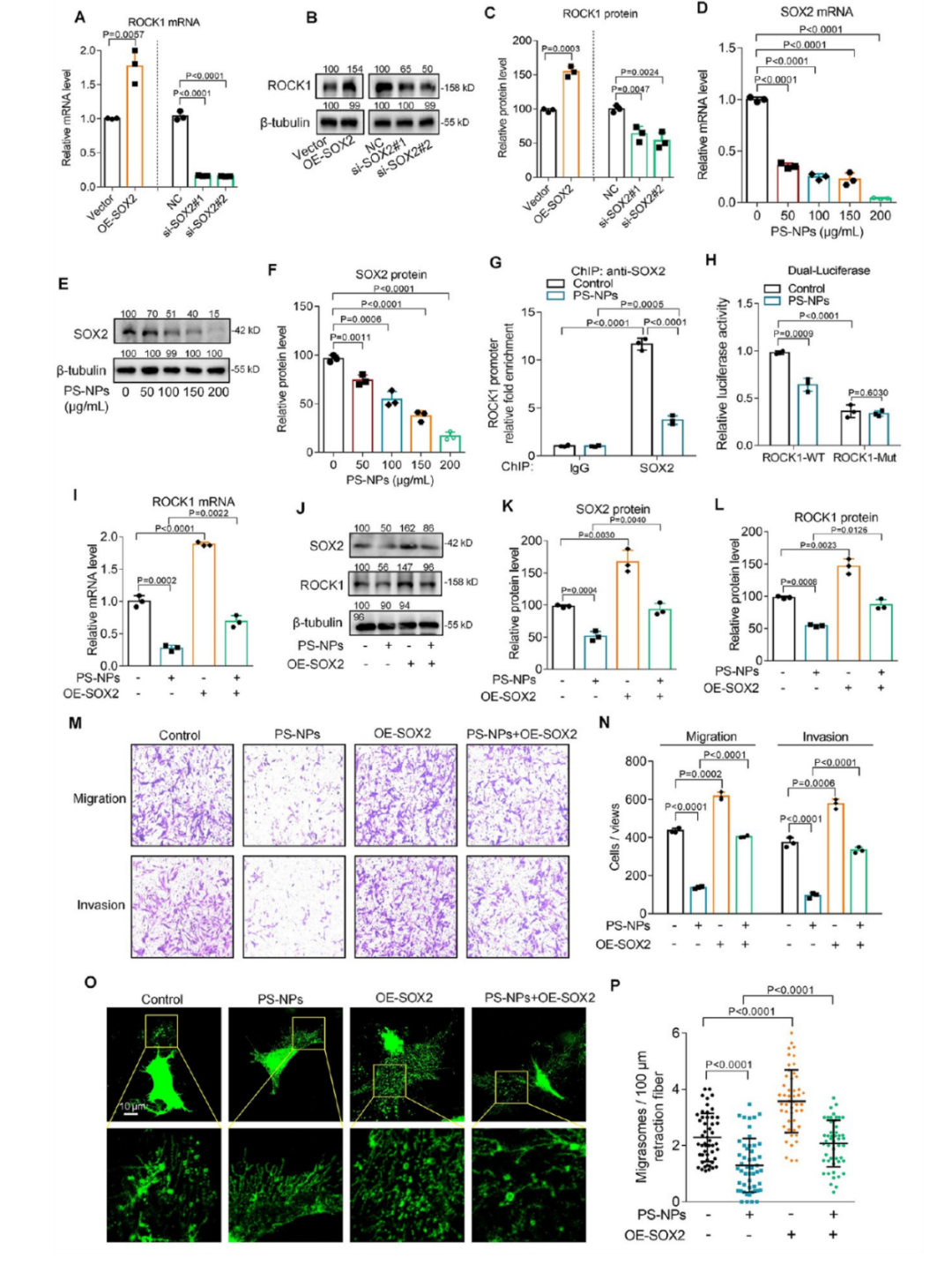
【PS-NPs暴露通过抑制SOX2介导的ROCK1转录,降低了ROCK1在人滋养层细胞中的表达】

研究首先探讨了ROCK1的转录因子。SOX2在胚胎发育中是必不可少的,对于维持胚胎细胞和各种成体干细胞群体的干性起着至关重要的作用。通过PROMO软件分析,SOX2可能识别ROCK1的启动子序列。SOX2的过表达上调了ROCK1和SOX2的mRNA和蛋白水平,而SOX2的敲低下调了滋养层细胞中ROCK1和SOX2的mRNA和蛋白水平(4A?C)。同时,PS-NP 暴露降低了PS-NP 暴露的滋养层细胞中SOX2的mRNA 和蛋白水平(图4D?F)。SOX2的ChIP实验证明在滋养层细胞中,SOX2可以富集ROCK1的启动子区域,而在PS-NP 暴露的滋养层细胞中,这种富集减少了(图4G)。双荧光素酶报告基因实验还揭示,SOX2在使用ROCK1的野生型启动子序列时具有转录活性,而在使用突变启动子序列时没有此转录活性;PS-NP 暴露降低了滋养层细胞中的这种转录活性(图4H)。此外,研究还发现SOX2的过表达可以恢复PS-NP 暴露降低的ROCK1的mRNA和蛋白水平(图4I?L)。至于细胞表型,SOX2的过表达挽救了PS-NP暴露下降的滋养层细胞的迁移/侵袭和迁移体的形成(图4M?P)。因此,这些结果表明在PS-NP 暴露的滋养层细胞中,PS-NP 暴露通过抑制SOX2介导的ROCK1转录,降低了ROCK1的表达,从而抑制了迁移/侵袭和迁移体的形成。

7.png

图4. PS-NP 暴露抑制了SOX2介导的ROCK1转录。

【PS-NPs如何通过促进SOX2的自噬降解来降低其在滋养层细胞中的表达】

通过使用环己酰胺(CHX)处理阻断蛋白质翻译的滋养层细胞,确定了SOX2蛋白的稳定性。结果显示,聚苯乙烯纳米颗粒(PS-NPs)促进了PS-NP 暴露的Swan 71细胞中SOX2蛋白的降解(图5A,B)。一般而言,蛋白质通过泛素-蛋白酶体和自噬-溶酶体途径降解,我们通过使用MG132或氯 喹(CQ)处理细胞阻断了这两个途径。在PS-NP 未暴露或暴露的细胞中,CQ处理导致SOX2蛋白积累,而MG132处理则没有这种效果(图5C,D)。这表明在人滋养层细胞中,SOX2蛋白主要通过自噬-溶酶体途径降解。LC3B I到LC3B II的转化以及P62在自噬过程中的降解是自噬的两个典型指标。在PS-NP 暴露的细胞中,LC3B II/I蛋白水平比例增加,P62蛋白水平减少,表明PS-NP 暴露促进了自噬(图5E?G)。氯 喹(CQ)通过阻断溶酶体酸化和防止其与自噬体融合来抑制自噬,处理细胞后LC3 II的降解被有效防止。GFP-LC3质粒的共聚焦实验显示,PS-NP 暴露导致LC3 斑点的增加,与CQ联合处理进一步加强了这种效应,说明PS-NP 暴露增强了滋养层细胞中的自噬(图5H,I)。PI3K/Akt/mTOR通路对自噬的启动至关重要,而PS-NP 暴露导致这些通路中PI3K p110β、磷酸化-Akt(p-Akt)和磷酸化-mTOR(p-mTOR)蛋白水平的浓度依赖性降低(图5J)。CQ的联合处理挽救了PS-NP 暴露引起的迁移/侵袭和迁移体形成的下调(图5K?N)。总体而言,这些结果表明PS-NP 暴露通过抑制AKT通路、激活自噬、促进SOX2的自噬降解,从而降低了SOX2和ROCK1的蛋白水平,最终抑制了PS-NP 暴露的人滋养层细胞中的迁移/侵袭和迁移体形成。

9.png

图5. PS-NPs促进人滋养层细胞中SOX2的自噬降解。

【PS塑料碎片、自噬、迁移/侵袭以及UM和HC绒毛组织中的迁移体形成】

在人流产组织(UM)和对照组绒毛组织(HC)中检测到PS塑料碎片,并发现UM组织中的PS塑料碎片含量较高。逻辑回归模型分析表明,绒毛组织中PS塑料碎片含量较高(OR = 8.72; 95% CI, 2.92?26.04)与流产相关,并可视为流产的风险因素(图6A)。在UM与HC组织中,SOX2、ROCK1和TSPAN4的mRNA水平较低。蛋白水平方面,UM组相较于HC组,SOX2、ROCK1、TSPAN4、NDST1和P62的蛋白水平较低,LC-3BII/I蛋白水平比例较高,与PS-NP 暴露的滋养层细胞中的结果一致(图6C?H)。免疫组织化学分析显示,UM组织中的SOX2蛋白水平较HC组织低(图6I,J)。相关性分析显示,在UM组织中,SOX2蛋白水平与ROCK1 mRNA水平呈正相关。SOX2 ChIP实验证明,在UM相较于HC组织中,SOX2富集的ROCK1启动子区域水平较低。SOX2和ROCK1的蛋白水平与UM组织中的PS塑料碎片含量呈负相关(图6K?N)。综合细胞和绒毛组织水平的结果,这些研究表明UM组中PS塑料碎片含量增加,自噬增强,SOX2蛋白水平降低,SOX2介导的ROCK1转录受到抑制,迁移/侵袭和迁移体形成受到抑制,从而可能导致流产。

10.jpg.png

图6. 在健康对照组(HC)和流产组(UM)绒毛组织中的自噬、迁移/侵袭和迁移体形成。

【通过补充小鼠SOX2或ROCK1,恢复了PS-NP 暴露小鼠模型中的迁移/侵袭和迁移体形成,并减少了流产率】

在PS-NP暴露的小鼠模型中,通过给予小鼠注射过表达小鼠SOX2或ROCK1的质粒,补充实验证实了PS-NP 暴露、SOX2/ROCK1、迁移/侵袭、migrasome形成和流产之间的因果关系。研究中构建了一个小鼠流产干预模型,其中PS-NP 暴露的小鼠腹腔内注射过表达小鼠SOX2或ROCK1的质粒(图7A)。在我们的预实验中,发现暴露于生理盐水或每天25 mg/kg的PS-NPs并未显示明显的胚胎吸附,而50或100 mg/kg的PS-NPs的暴露则显示出明显的胚胎吸附。为了清晰显示干预效果,我们在这些实验中选择了每天100 mg/kg的PS-NPs。首先,PS-NP 暴露增加了胚胎吸附和提高了流产率;然而,补充SOX2减少了胚胎吸附并降低了流产率(图7B,C)。在小鼠流产干预模型中,通过补充小鼠ROCK1,ROCK1的补充减少了由PS-NP 暴露引起的胚胎吸附和流产率(图7G,H)。总体而言,这些结果证实了PS-NP 暴露降低了SOX2和ROCK1的表达水平,抑制了迁移/侵袭和迁移体形成,并进一步降低了流产率。补充小鼠SOX2或ROCK1能有效恢复小鼠胎盘组织中的迁移/侵袭和迁移体形成,减轻了PS-NP 暴露小鼠的流产率。

12.jpg.png

图7. 补充SOX2或ROCK1恢复了PS-NP 暴露的孕鼠模型中的迁移/侵袭和迁移体的形成,并缓解了流产。

【小结】

这项研究发现,暴露于PS-NPs导致了怀孕小鼠的流产。PS-NPs抑制了ROCK1介导的细胞迁移/侵袭和迁移体形成。SOX2被确定为ROCK1的转录因子。PS-NPs激活了自噬并促使SOX2的自噬降解,从而抑制了SOX2介导的ROCK1转录。通过补充SOX2或ROCK1,可以有效挽救细胞迁移/侵袭和迁移体形成,并减轻小鼠模型中的流产。在PS-NP 暴露的滋养层细胞、UM患者绒毛组织以及PS-NP 暴露的小鼠胎盘组织中对SOX2、ROCK1、TSPAN4和NDST1蛋白,以及P62和LC-3BII/I的分析得出了一致的结果。这项研究揭示了纳米塑料的生殖毒性,并发现了其潜在的调控机制,表明纳米颗粒的暴露是女性生殖健康的危险因素。

13.jpg

图8. 潜在的调控机制。

相关文章

推荐产品更多>>

最新求购更多>>

投稿报料及媒体合作

E-mail: luning@ibuychem.com